Please confirm that you would like to log out of Medscape.
If you log out, you will be required to enter your username and password the next time you visit.
Log outCancel
High-Risk ECGsRapid ECG interpretation is essential in the emergency medicine setting, often completed in under 30 seconds. Here, we review a series of ECGs with clinically relevant “can’t miss” diagnoses.
Medscape Features Slideshows, October 21, 2025
Cutaneous and Mucosal Manifestations of Viral ...Viral infections can cause a range of cutaneous and mucosal manifestations, from isolated lesions to generalized exanthems. Learn more about the findings associated with various viruses.
October 2, 2025
Recognizing Cardiac EmergenciesCardiac emergencies are common worldwide. This slideshow will help you diagnose them based on symptoms and ECG findings.
Medscape Features Slideshows, October 1, 2025
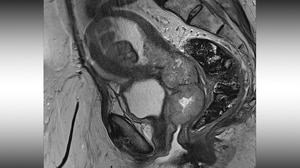
Diagnosis and Treatment of Cervical CancerCervical cancer is the fourth most common cancer worldwide and is the 20th most common cancer in the United States, with an estimated 13,820 new cases and 4360 deaths in 2024.
Medscape Features Slideshows, September 17, 2025
Managing Mental Health Crises in the EDPatients experiencing a psychiatric crisis may turn to the emergency department (ED) for help. This slideshow will discuss how to best care for these patients in a busy ED setting.
Medscape Features Slideshows, September 5, 2025
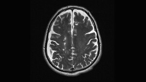
Multiple Sclerosis: Making the Diagnosis With ...Diagnosis of multiple sclerosis may take months to years because this condition is defined either by recurrent or by gradual and progressive episodes of symptomatic central nervous system demyelination.
Medscape Features Slideshows, August 27, 2025
Recognizing Pediatric Respiratory IllnessesUnderstanding the progression of respiratory distress and failure in children is crucial. Recognize the stages and refine your differential diagnosis.
August 21, 2025
Acute Chest PainChest pain is a common symptom of acute cardiopulmonary disease. The precise location and character of this pain is a very useful diagnostic tool.
Medscape Features Slideshows, August 7, 2025
11 Infant Abdominal EmergenciesThis slideshow will bolster your differential while providing salient insights for some of the more common infantile intestinal emergencies.
August 1, 2025
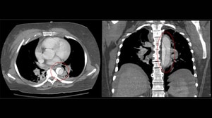
Aortic Dissection: A Double-Barreled ThreatSudden onset tearing chest pain can be the initial presentation of an aortic dissection. A small tear can quickly split the aortic wall, which may be fatal even with prompt treatment.
July 28, 2025
Burning Up? A Guide to Treating Heat IllnessHeat illness can quickly become a medical emergency if not promptly recognized and treated. Do you know the best ways to cool down hyperthermic patients?
July 18, 2025
Deadly Skin CancersMany skin cancers are highly curable if caught and treated early; how many of these do you recognize?
July 8, 2025
Medical Readiness for Mass Casualty Incidents ...While the hope is for mass casualty incidents to never occur, consistent training and preparation are vital to ensure readiness if the unthinkable occurs.
Medscape Features Slideshows, July 8, 2025
11 Travel Diseases You Need to KnowMany infectious diseases are endemic to popular travel locations. Stay up to date on vaccinations and precautions your patients need to take to avoid illness on their next trip.
July 4, 2025
Growth Disorders: 7 CasesGrowth disorders involve values for age and sex in: height, weight, proportions, osseous maturation, and development of sexual features. They can result in either accelerated or decreased growth.
June 24, 2025
Metastatic Breast CancerWhile many treatment options are available, metastatic breast cancer remains a deadly disease with a relatively poor prognosis.